우리는 임상현장에서 피부종양 환자를 자주 접하게 된다. 이번 원고는 피부종양 외과의 기본 개념에 중점을 두었다.
먼저 종양의 카테고리를 보면 epithelial cell tumors, spindle cell tumors, round cell tumors, neuroendocrine cell tumors로 구분할 수 있다.
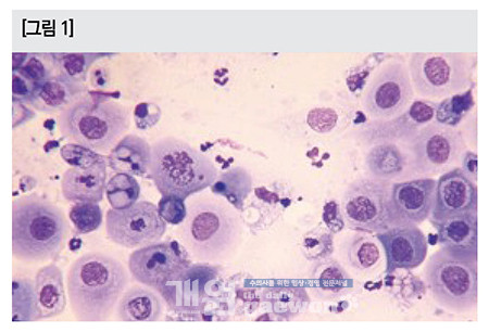
Epithelial cell tumors는 선 및 표면,안검 상피에서 발생한다.밀집된 클러스터(cluster)에서 박리되고 세포 연결이 유지되어 있다.
적혈구대소구부동증(anisocytosis), 핵부동(anisokaryosis), 높은 핵 대 세포질(N/C) 비율, 다핵, 비대및 다중의 핵소체, 유사분열 등으로 양성과 악성 세포를 구별한다[그림 1].
Spindle cell tumors는 감소된 세포질, 중간엽 또는 결합세포들(mesenchymal or connective cells), 생성되는 물질로 구별, 육종(sarcoma)과 같고, 신생물질과 육종 사이 연관성이 없어 애매한 특징을 갖고 있다[그림 2].
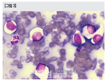
Round cell tumors는 세포가 둥글거나 타원형으로 분리되어 있는 특징이 있다.Histiocytoma, histiocytic sarcoma, lymphoma, mast cell tumors, extramedullary plasmacytoma, melanoma, TVT 등이 있다[그림 3].
종양 수술의 정의를 살펴보면, Primary(or definitive) excision은 정상조직의 적절한 가장자리와 일부의 경우 국소 림프절까지 일괄 절제하는 것이다.
Primary re-excision은 불완전하거나 적게 절제된 악성 종양을 적절한 마진으로 일괄 절제하는 것이다. 스카(scar)를 정리하는 의미는 아니다.
보조요법(Adjuvant therapy)의 개념은 수술 후 화학 요법, 면역 요법, 호르몬 요법 및 다양한 생물학적 요법과 방사선 요법을 진행하는 의미이다.
즉, 수술 후 추가로 적절한 보조적인 치료를 하는 의미이다. 신보조요법(Neoadjuvant therapy)의 개념은 미리 주 치료로 방사선요법이나 화학요법을 하고 보조적으로 수술을 하는 의미이다.
종양의 staging에서 단계(stage)는 전이의 정도, 확산의 정도를 결정하는 의미이다. 등급(grade)은 종양의 전이 가능성을 나타내는 의미로 높을수록 생물학적 공격성이 더 높은 종양을 의미한다.
임상 현장에서 단계와 등급을 혼동할 때가 있는데 명확히 개념을 정립하자.
종양 치료의 목표를 알아보면,수술 및 방사선 치료의 목표는 국소제어 목적이 있다. 수술적 제거는 진단 및 치료를 위한 과정이다. 수술적으로 제거된 세포들은 100% 죽는다. 방사선 치료는 방사선 조사량에 의존한다. 방사선 치료 과정마다 종양세포들을 줄여 가는 것이다.
전신요법(chemo and immune)의 목표는 원거리 전이를 예방하기 위해 원발성 종양을 축소시키거나 완화하려진행한다. 전신 요법도 각 단계마다 종양 세포들을 줄여가는 개념이 작용한다(first order kinetics).
암 목표 치료를 보면 치료적 절제, 보조적 수술(세포 감소로 변연부,용적 감소 목적), 전이된 부위의 치료, 종양적 응급상황의 치료, 일시적 완화 치료 등이 있다.
종양 수술에서 가장 흔한 실수는 너무 적게 절제하는 것이다. 수술 시에 수술자는 제거 후 결손부위를 닫지 못할 걱정을 하는 경향이 있다.
이를 극복하기 위해서는 마킹 펜을 이용하여 수술 전 명확히 절제부위를 표시 후 진행하는 것이 좋다. 암세포를 남겨두는 것 보다 수술부위를 열어 두는 것이 더 좋다는 말이 있다.
절제 유형을 살펴보면,intracapsular(intralesional) 절제는 종양 캡슐 내에서 절제하는 것이다. Marginal excision은 pseudocapsule 또는 주변 결합조직 바깥에서 일괄 절제하는 것이다.
Wide excision은 병변을 일괄적으로 제거하며, 절제면이 종양 주변에서 충분히 떨어져 있은 것이다. Radical excision은 병변과 병변 관련된 구획을 일괄 제거하는 것이다(예;amputation).
치료적 절제, primary(curative) excisions을 좀더 자세히 살펴보면, wide, radical excisions만이 해당된다.
Wide excision은 일반적으로 2~3cm의 피부 폭과 1~2개의 관련되지 않은 근막 깊이 절제를 의미한다.Radical excisions은 일반적으로 절단과 같이 전체 구획이 제거됨을 의미한다.
판단을 위한 근거는 종양 유형(tumor type), 종양 위치(tumor location), 종양 크기(tumor size)를 고려하여 판단한다.
Surgical margins는 3차원적으로 고려해야 한다. 측면과 깊이를 고려해야 한다.측면으로 종양이 자라듯이 깊이도 자라는 것을 명심해야 한다.
깊이에서 종양을 남겨둔다면 아무리 넓게 잘 절제해도 의미가 없다. 상대적으로 피부의 측면의 제거는 용이하다. 깊이는 복잡하고 부담이 된다.
대부분의 악성 종양에서 하나의 관련되지 않는 근막 깊이까지 절제해야 한다. 주사부위 육종의 경우는 2개의 관련되지 않은 근막 깊이가 필요하다.
종양과 접촉 상태에 있는 부위는 어떻게 할까? 대부분의 경우 접촉 시 침습이 발생한다.가능하면 일괄 절제가 좋다. 예로 폐 종양이 있는 경우 폐종양과 흉강이 접촉되는 늑골부분이다.
이상 피부종양 외과에 대한 기본 개념을 살펴보았다.
<다음호에 계속>

