■ 서론
림프종은림프조직(림프절, 비장, 간, 골수)의 B 림프구 또는 T 림프구에서 발생하는 혈액종양이다. 개에서 발생하는 혈액종양 중 90% 정도를 차지할 정도로 비율이 높다.
림프종의 해부학적 위치에 따라 multicentric, mediastinal, alimentary, extranodal로 구분하고, 세포 크기에 따라 large high grade lymphoma와 small low grade lymphoma로 구분하고, 조직학적으로 diffuse large B cell lymphoma (DLCL), peripheral T cell lymphoma (PTCL), T-zone lymphoma (TZL), T-cell lymphoblastic lymphoma (T-cell LBL), marginal zone lymphoma (MZL)로 구분한다.
림프종의진단은 세포학검사만으로도 가능하다. B cell과 T cell을 구분하기 위해서 Flow cytometry 또는 PARR (PCR for Antigen Receptor Rearrangements)를 검사한다. B cell에 비해 T cell의 예후가 좋지는 않다.
림프종의치료는 항암치료, 수술적인 제거, 방사선치료 등을 고려할 수 있는데, 주로 항암치료를 선택한다. 항암치료에 사용하는 약물은 L-asparaginse, doxorubicin, vincristine, cyclophosphamide, prednisolone이다.
항암제의 조합에 따라 25주, 19주, 15주, 12주 등의 프로토콜이 있다. 보통 19주 프로토콜을 많이 권장하는데, 저자는 12주 또는 15주 프로토콜을 선호한다.
12주와 15주 프로토콜의차이는 3주마다 1주 쉬고 가는지 아니면 안 쉬고 가느냐의 차이이다.
림프종의CR(complete remission)율은 85~95%이고, median progression-free survival (MPFS) 시간은 5~9개월이며, median survival time (MST)는 12개월로 알려져 있다. 2년까지 생존하는 경우는 20~25% 정도이다.
■ 증례
6년령의 중성화 암컷 Labrador Retriever견이 2020년 9월 13일에 고열(40.2)과 빈호흡(panting), 식욕감소, 기력 저하로 내원하였다.
신체검사상에서 양측 prescapular lymph node와 오른쪽 겨드랑이 림프절, 양측 오금림프절이 종대되었다. 혈액검사에서 백혈구 증가증(22,970 cells/ul)과 cRP(71.8 mg/L)의 상승이 확인되었다.
방사선과 초음파검사 시 cranial mediastinal lymph node와 medial iliac lymph node의 종대도 확인되었다. 추가로 비장이 경미하게 종대되었고, 간 림프절과 비장 림프절도 종대 되었으며, 비장의 다발성의 military nodule 관찰되었다[Fig 1]. 혈액도말상에서 백혈구 증가 이외에 다른 특이 소견은 관찰되지 않았다.
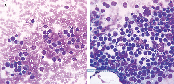
다발성 림프종(multiccentric lymphoma)이 의심되는 상황이었고, 이로 인한 발열과 기력 저하 등의 임상증상이 나타난 것으로 판단되어 대증처치를 실시하면서 체표림프절과 비장에 대한 세포학검사를 실시하였다[Fig 2].
대증처치로 수액처치와 항생제 처치 후 체온이 감소하고 환자가 안정되었다.
입원 3일째인 9월 15일에 CRP가 78.7mg/L로 높지만 환자 상태가 안정적이어서 항생제 처방하여 퇴원하였고, 다음날 CRP를 재검 하였는데, 31.7mg/L로 감소하였다.
림프절과 혈액 샘플에 대한 Flow cytometry 검사 결과에서 혈액은 종양세포가 관찰되지 않았고, 림프절에서는 B cell로 확인되었다[Fig 4].
혈액은 EDTA tube로 샘플을 의뢰하였고, 림프절은 생리식염수 1ml에 혈장 0.1ml을 섞은 배지에 FNA한 샘플을 넣어서 의뢰하였다. FNA는 4~5회 정도 실시하여 배지가 혼탁해질 정도로 실시하였다. IDEXX로 의뢰한 PARR검사 결과도 B cell 이었다[Fig 3].
즉, 이 환자는 multicentric lymphoma의 Diffuse Large B cell lymphoma로 진단하고, stage IVb(비장과 간까지 involvement되고, 초기에 임상증상을 동반하여) 로 판단하였다.
처음 내원 시에는 임상증상이 있었지만, 항암치료 시작할 시점에는 증상이 개선된 상태였다.
<다음호에 계속>
한만길 원장
동물메디컬센터W

