기관지 확장증(Bronchiectasis)은 기관지가 어떠한 이유 때문에 기관지 벽이 탄력을 잃고 비가역적인 확장 상태가 되는 것을 말한다.
정상적인 기관지는 근위부에서 말단부로 갈수록 직경이 감소하는 반면,기관지 확장증은 말단부로 갈수록 기관내 내경이 일정하거나 더 넓어지는 원통형(cylinder)또는 주머니(saccular)같은 비정상적인형태로 확장되는 것이 특징이다.
일반적으로는 만성적인폐질환이 주원인이므로 대게는 10세 이후 많이 진단 되나 선천적인 이유로 인해 저연령에 진단되는 사례도 있다.
최근 보고에 의하면 기관지 확장증은 내원하는 호흡기 질환 환자의 0.05%~0.08% 수준으로 매우 드물게 진단된다. 기관지 확장증의 완치는 불가능하며, 진행속도를 늦추는데 치료의 목적을 둔다.
심한 경우 일반 방사선 상에서도 기관지 확장증의 진단이 가능하지만, 전산화 단층 촬영은(CT) 일반 방사선 검사보다 높은 민감도로 병변의 분류와 분포를 보다 정확하게 평가할 수 있어 정확한 진단과 예후 평가에 중요한 역할을 한다.
호흡기는 비강부터 말단 세기관지에 이르기까지 섬모상피(ciliated epitheilium)로 이루어져 있다. 섬모는 외부로부터 유입된 작은 먼지나 작은 세포 부스러기들을 제거하는 역할을 한다. 그런데 호흡기 내에 염증 상태가 오랫동안 유지될 경우 섬모의 제거 기능이 소실되면서 세포 부스러기, 염증 세포가 포함된 비정상적인 점액들이 기도 내강에 축적된다.
그 결과 기관지 내강의내압이 상승하여 감염이 퍼지기 쉽게 되고,병원균이 장기간 기관지에 남아 염증을 일으킨다.
만성 감염과 염증은 호흡기 상피와 점막하에 연속적인 손상을 유발하여 환자가 이후에도 감염에 걸리기 쉬운 환경을 만들어 준다. 이러한주기가 반복되어 상피와 점막하에 추가 손상이 발생하고, 기관지확장증이 발생하게 되는 것이다.
염증성 폐질환이 있는 모든 개가 기관지 확장증이 발생하는 것은 아니듯이 결국 환자의 면역 상태나 폐의 제거 메커니즘 형성 정도와 같은 개체 차이가 기관지확장증의 발달에 주된 역할을 하게 된다.
형태학적으로 기관지 확장증은 ‘원통형 기관지확장증(Cylindrical bronchiectasis)’과 ‘주머니형 기관지확장증(Saccularbronchiectasis)’으로 분류한다.
우선 원통형 기관지 확장증이 더 일반적인 형태이고, 근위부터 말단 기관지의 균일한 확장이 그 특징이다. 주머니형 기관지확장증은 기관지 말단부의 풍선 형태의 확장이 특징이며, 원통형 기관지 확장증의 진행된 형태로서 나타나기도 한다. 병변의 분포로도 분류하는데 이는 선행 질환의 원인을 추정하는데 도움을 줄 수 있다.
기관지 확장증의 국소적인 분포는 폐색이나 감염을 의심할 수 있으며, 미만성 기관지 확장증의 경우에는 선천성 또는 후천성 숙주방어체계의 결핍을 생각해 볼 수 있다.
■ 증례
5개월령 암컷 보더콜리가 수일간 기침과호흡 불안정으로 지역병원에서 폐렴으로 진단 받아 치료 받았으나 지속적인 증상으로 본원에 의뢰 되었다. 신체검사상 폐음에서 수포음이 청진 되었고, 간헐적인 기침 증상이 목격되었다.
혈액검사에서는 CRP(C-Reactive Protein) 수치의 미약한 상승만이 있었고,그 외 수치는 정상이었다.일반 방사선 촬영을 통해 기관지 폐렴(Bronchopneumonia)과 기관지 확장증(Bronchiectasis)을 의심할 수 있었다[그림 1].
정확한 진단을 위해전산화 단층촬영과 원인균 분리가 필요했지만 보호자의 경제적인 문제로 인해 일반적인 폐렴에 준한 치료부터 진행하였다. 2주간 산소치료,광범위항생제(cephalexin 30mg/kg, Doxycyclin 5mg/kg), 항진균제(Itraconazole 2.5mg/kg),theophylline 5mg/kg, famotidine 2mg/kg, codeine 0.5 mg/kg과 함께 분무치료를 병행 하였다.
호흡음과 함께 활력 징후의 개선이 있었고, 일반 방사선 상에서도 우측 중엽의 미약한 폐포침윤 소견을 제외하고는 폐 전반적으로 보였던 기관지 패턴과 간질 패턴이 눈에 띄게 개선됨을 확인할 수 있었다[그림 2].
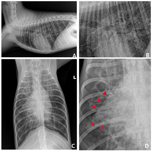
퇴원 이후에도 지속적인 투약과 2주 간격의 모니터링을 진행하였다.그러나 3개월이 지났을 때 다시 호흡기 증상이 재발하였고, 일반 방사선 상에서 폐간질 침윤과 심한 기관지 침윤이 재발한 것을 알 수 있었다[그림 3].
재입원하여 동일한 방법으로 치료를 진행하였고, 1개월 정도 지나서 전산화 단층 촬영을 하였다[그림 4]. 폐엽 전반에 걸쳐 기관지의 tapering이 소실되고 원통형으로 확장되어 있는 것을 확인할 수 있었으며, 우측 전엽 배쪽(ventral) 부위에는 국소적으로 포도송이 모양의(“grape cluster” appearance) 주머니형 기관지 확장증도 동반되어 있었다.
또한 확장된 기관지 벽은 전반적으로 비후되어 있었으며, 여러 폐야에서 다양한 영역을 보이며 간질침윤이 확인되었다.
본 환자의 경우 유년기에 기관지 확장증이 진단 되었고 이는 일반적으로 발생하는 연령대와 거리가 멀다. 병변의 분포도 일부 폐엽이 아닌 전반적인 폐엽에서 관찰되고 있기 때문에 후천적인 감염 외에도선천적인 소인이 있을 가능성을 배제할 수 없었다.
그 원인으로는 원발성 섬모운동 이상증(primary ciliary dyskinesia), 기관지 연골 무형성증(bronchial cartilage aplasia), 기관지 저형성증(bronchial hypoplasia) 그리고 면역결핍증 등이 있을 수 있다.
본 환자와 가장 개연성이 있을 것으로 추정되는 원발성 섬모 운동 이상증은 외부에서흡입된 물질을 밖으로 제거하는 자정능력에 이상이 생긴 상태로서 만성적인 점액 폐색증이나 감염이 발생할 수 있다.
잉글리쉬포인터, 잉글리쉬 스프링거 스패니얼, 잉글리쉬 세터, 보더콜리, 올드 잉글리쉬 쉽독, 도베르만 핀셔, 치와와, 골든 리트리버, 뉴 펀들 랜드 및 비숑 프리제를 포함한 많은 품종의 개에서주로 보고되고 있다.
일반적으로 항생제에 반응하지만 항생제를 중단하면 다시 재발하는 것이 특징이다. 확실한 치료법은 없고, 재발이 많다.
본 환자는 첫 진단 후 현재 만 3년간 재발성 만성 호흡기 질환을 반복하고 있으며, 항생제를 적절히 사용하며 유지하고 있다.추적 방사선 검사를 꾸준히 진행하면서 기관지 확장 이외 폐렴 여부를 검토하며 치료 강도를 조절하고 있다. <完>
로얄동물메디컬센터 강동
한성영 원장

