심전도는 동방결절(SA node)에서 시작해 심방에 먼저 전기전도가 일어나 심방을 수축시키고, 방실결절(AV node)를 거쳐 히스다발(His bundle)에서 우각(Right Bundle Branch)과 좌각(Left Bundle Branch)으로, 그리고 푸르키네섬유(Purkinje Fibers)를 포함한 세부섬유로 전기전도가 일어나 심실 수축을 일으킨다.
Electrocardiography
심전도검사(electrocardiography)는 심장의 전기적 활동을 해석하는 학문이다, 장점으로는 빠르고 검사가 안전하다, 부정맥 진단에 용이하며, 심장 리모델링, 경색 등을 진단할 수 있다.
또한 검사시간이 짧고,비용적으로 저렴한 편이다. 다만 현 상태의 단편적인 부분을 측정하는 것이기 때문에 지속적이지 않은 소견은 파악이 안 될 수 있으며,심장 수축력 등과 같은 지표는 확인이 안 된다.
종류는 크게 △12 유도 심전도(Standard 12-lead) △운동 부하 심전도 △활동 중 심전도(Halter monitor)가 있다.
심전도를 측정할 때 자세는 우측 횡와위(Right leteral recumbency) 자세가 권장된다.
우측 횡와위 자세는 muscle tremor artifact를 최소화시켜 주고, 서 있는 상태에 비해 심장축을 오른쪽으로 기울게 하여 측정하기 최적의 상태로 만든다.
미국 심장협회(AHA; American Heart Association)와 국제 전기전자표준기구(IEC; International Electrotechnical Comission)의 기준이 다르므로 심전도 기계가 어느 기준에 따라 생산되었는 지에 맞추어 Lead의 색깔을 구별하여 장착해야 한다.
각 다리의 lead는 artifact의 영향을 최소화 하기 위해 몸에서 가까운 쪽 즉, 겨드랑이, 사타구니에 장착하는게 좋다.
SA node에서 전기자극이 시작되어 심방으로 전기자극이 P파를 의미하며,QRS파는 AV node를 시작으로 심실의 전기전도와 관련된다.
AV node로부터 히스다발에 전도가 되는데, 축 방향에 역행을 하여 일시적으로 음전하가 일어나 Q파를 형성하고(A), 히스다발, 좌각, 우각으로의 전기전도로 R파가(B,C), 그리고 넓은 좌각의 좌심방 방향으로 전기전도로 S파가 형성된다(D).
<정상 심전도 기준>
| 방실차단의 1, 2, 3 degree 비교 분석
방실차단(AV block; Atrioventricular block)
방실차단이란 AV node의 불완전, 간헐적 또는 완전한 전도차단을 말하며, First degree, Second degree, Third degree AV block으로 나뉜다.
원인은 미주신경 항진, 심장에 직접적인 영향을 줄 수 있는 질환(퇴행성, 염증성, 종양성 등), 약물(beta-blocker, Ca-channel blocker, low-dose atropine), 고칼륨혈증, 자율신경계질환 등이 있다.
First degree AV block
AV node를 통한 전도의 지연상태를 말하며, PR interval이 0.13s 이상이며, P파와 QRS complex는 보통 정상이며, 관련 증상은 드물다.
Second degree AV block
AV를 통한 전도의 간헐적 차단을 말하며, P파와 QRS complex는 정상이다. Grade가 높을수록 운동불내성, 위약, 실신 등과 같은 혈류역학적 증상이 발현된다.
Second AV block은 Mobitz Type 1, Type 2, 그리고 Advanced(high grade)로 나뉜다.
Mobitz Type 1은 PR interval이 점차 지연되다가 QRS complex가 차단된다.
Mobitz Type 2는 PR interval이 유지되다가 갑작스럽게 QRS complex가 차단된다.
Advanced(high grade) Second AV block은 P파와 QRS complex의 비율이 2:1 이상인 경우다.
Third degree AV block
완전한 AV block을 보여 심방의 전도가 심실로 도달하지 못한다. 심방의 수축은 subsidiary pacemaker cell로 인한 ventricular escape rhythm에 의존한다. 일반적으로 escape rhythem은 규칙적이며, 개에서 분당 심박수 40회 이하부터 60회를 보인다. 심방의 전도가 심실로 도달하지 못하기 때문에 P파와 QRS complex의 연관성이 없으며, 운동불내성, 위약, 실신, 울혈성 심부전, 급사가 일어날 수 있다.
[증례]
5kg의 중성화한 수컷 말티즈가 기력저하, 식욕부진, 기침, 빈호흡으로 내원했다. 보호자분께서 길거리를 배회하던 아이를 데려와 키운지가 14년 정도 되어 15살 이상으로 추정하였다.
내원 일주일 전 갑자기 소리를 지르고 대변을 지리며 쓰러졌으며, 그 이후로 활력이 떨어지고 사료를 안먹고 간식만 먹기 시작해 변을 무르게 보다가 설사로 진행하며 호흡이 점차 거칠어졌다고 했다.
주로 밤에 기침을 계속 했고, 다음다뇨 증상이 있다고 하였다. 내원 하루 전에 지역병원에 내원했는데, 심장이 안좋은 것 같다하여 관련 주사 및 약처방을 받아 귀가하였으나 호흡이 더 거칠어지고 빨라지기 시작해 본원으로 내원했다.
심장평가를 포함한 종합검사를 진행했다. 간담도계, 췌장, 신장 수치가 소폭 상승해 있었으며, cardiac troponinI가 11배, proBNP가 7.6배 상승해 있었다.
<혈액검사>
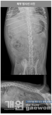
흉부 방사선 촬영상 흉수와 심비대증이 확인 되었으며, 복부 방사선 촬영상 뚜렷한 간비대증 및 복수 소견이 보였다.
복부 초음파 검사상 간비대증, 간에코상승, 우측 부신 크기 증가의 소견을 보였다. 심장 정밀초음파 검사상 심방 수축과 심실 수축의 일치하지 않음을 확인했다. 심장박동수는 분당 40~50회 정도를 지속적으로 유지하였다.
심전도 검사상 P파 이후 QRS complex가 이어지지 않는 AV block이 확인되었다. P파 4회당 QRS complex 1개가 올라오는 high graded Mobitz type 2 second degree av block이 진단되었다.
기저질환 관리를 하고, 호흡, 혈압, 심전도는 계속 모니터링하며 입원치료를 하였다. 3일간 큰 개선이 없었으며, 흉수는 더 심해져 흉수 천자를 진행하고, 이어서 permenant Pacemaker 장착 시술을 하였다.
Pacemaker는 VVIR type으로 심장박동 세팅은 분당 100~150회로 세팅되었다.
흉수는 점차 줄어들며 활력이 개선되고, 심장박동이 안정적으로 유지되었다.
| VVIR Pacemaker 간단하고 안전성 높은 것이 장점
현재 pacemaker 장착한지 10개월이 지났으며, 환자는 주기적인 검사상 특이사항 없고, 좋은 활력으로 잘 지내고 있다.
고찰
AV block은 정도에 따라 매우 위험할 수 있으나 실제 임상에서 쉽게 발견되기가 어렵다. First degree AV block이나 심하지 않은 second degree AV block2도 방실차단의 경우 호흡성 부정맥이나 noise로 오인하기 쉽고, 반대로 높은 단계의 AV block은 급사를 해버리기 때문에 내원하는 환자에서 AV block을 진단하기란 쉽지 않다.
AV block을 치료하기 위한 pacemaker는 1)pacing 하는 위치 2)전기자극 감지 3)센서에 대한 반응 4)자동조율 기능에 따라 분류가 된다.
각 분류를 순서대로 붙여 말하면 그 pacemaker의 종류가 된다.
본 증례에서는 VVIR pacemaker를 사용했으며, 이는 1)Ventricle 2)ventricle 3)inhibitied 4)rate modulation으로 심실에서 심장의 고유수축을 감지하여 환자의 활동량에 따라, 그리고 환자의 심장수축이 감지되면 pacemaker를 억제시켜 심실에 적절한 pacing을 시킨다.
본 증례의 환자는 심장박동수를 분당 100~150회로 세팅하여 여러 상황에 맞게 조절하게 된다. VVIR pacemaker는 간단하고 안정성이 높은 장점이 있다. DDDR pacemaker는 심방과 심실에서 감지하여 환자의 고유수축과 활동량에 따라 적절하게 심방과 심실에 pacing을 해준다. 따라서 DDDR은 심방과 심실을 순차적으로 조율해주는 가장 생리적인 방법이며, 추후 추가적으로 발생할 수 있는 전도장애 등을 대비할 수 있어 인의에서 제일 많이 사용된다.
수의에서는 아직 환자를 보기 어려울 뿐더러 진단이 내려지고 pacemaker가 지시된다 하더라도 비용적인 측면, 그리고 사람과 비교했을 때 평균수명, 기대수명의 차이에 의해 적용되기 어려운 점이 있다.
앞으로 좀 더 많은 AV block 증례와 pacemaker 수술로 수의학에 데이터가 축적되어 환자의 치료율과 생존율을 높일 수 있길 바란다. <完>
로얄동물메디컬센터 이기종 원장

