송대섭 교수, 유광수 연구관 공동연구팀 밝혀…국제학술지 게재
코로나19 변이 바이러스가 개에서 개로도 전파된다는 사실을 국내 연구진이 처음으로 규명했다.
송대섭(서울대 수의과대학) 교수, 유광수(전북대 인수공통전염병연구소) 연구관 공동 연구팀은 개를 이용한 실험을 통해 이 같은 사실을 확인했다.
연구 결과는 미국 질병통제센터(CDC)가 발간하는 국제학술지인 ‘이머징 인펙셔스 디지즈’ 최신호에 실렸다.
연구팀은 실험용 개들의 콧속에 코로나 19의 종류인 ‘델타’와 ‘오미크론’ 바이러스를 넣어 감염시킨 뒤 24시간이 지났을 때 건강한 개들과 합사했다. 그 뒤 열흘간 개들의 건강 상태를 확인했다.
그 결과 코로나 19 바이러스를 인위적으로 주입한 개, 그리고 해당 개와 한 공간에서 지낸 개 모두 코로나 19에 감염된 것으로 나타났다. 다만 체중 감소나 발열 같은 증상은 나타나지 않았다.
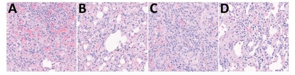
반면 몸속에서 변화가 나타났다. 우선 코로나 19에 감염된 뒤 허파의 핵심 부위인 폐포의 벽이 두꺼워지는 현상이 생겼다. 특히 오미크론에 감염된 개의 혈액에서 ‘크레아틴 키나제’라는 성분이 정상치보다 최대 8배나 검출됐다. 연구팀은 향후 추가 분석에 들어갈 것이라고 밝혔다.
연구팀은 “이번 연구는 반려동물의 바이러스 감염에 의한 새로운 변이종 출현, 사람으로의 재감염 가능성을 보여주는 것”이라며 “반려동물에서 비롯되는 변이종 출현을 막기 위한 백신 접종을 적극적으로 고려해야 한다”고 말했다.
저작권자 © 데일리개원 무단전재 및 재배포 금지

