전성훈(해마루동물병원 인터벤션센터) 센터장이 미국 수의학회에서 ‘구강종양 색전술’을 소개해 주목받았다.
전성훈 센터장(교신 저자: 충북대학교 장동우 교수)은 지난 5월 1~3일 미국 샌디에이고에서 열린 ‘제8회 미국 수의인터벤션 영상의학회(VIRIES)’에서 1년여 간의 ‘구강종양 색전술에 대한 회고분석 연구’를 구두 발표하는 시간을 가졌다.
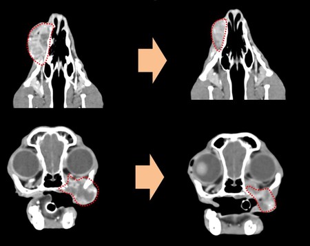
반려견의 구강종양은 비교적 자주 발생하는 종양으로 상악골이나 하악골의 골침습이 심한 경우 수술적 절제가 불가능한 경우가 많다. 특히 구강이라는 위치로 인해 종양이 큰 경우 구강 출혈이나 연하장애가 발생하여 환자의 삶의 질이 많이 떨어지게 된다.
또한 수술이 불가능한 환자에게는 방사선 치료가 가능하나 높은 비용과 잦은 마취의 부담으로 보호자들의 선택이 제한적이다. 따라서 또 다른 치료 옵션인 구강종양 색전술이 전 세계 임상의들로부터 큰 관심을 받고 있다.
전성훈 센터장은 구두 발표에서 “조직 검사를 통해 절제 불가능한 악성 구강종양이 진단된 환자를 대상으로 구강종양 색전술을 적용한 결과, 4주간의 short-term follow up 기간 동안 종양의 크기는 평균 30.89% 감소했고, 구강출혈, 식욕부진 등의 임상 증상이 소실됐다. 또한 모든 환자들이 시술 당일 퇴원하였으며, 심각한 부작용은 관찰되지 않았다”고 설명했다.
이어 “과거와 달리 치료가 불가능한 종양환자에서 다양한 치료 옵션들이 생기고 있다”며 “이 중 인터벤션 치료법은 종양으로 인한 삶의 질 저하를 개선 시켜 줄 수 있는 좋은 치료 방법으로 생각한다”고 말했다.
해당 발표 내용은 학회에 참석한 많은 수의사들의 뜨거운 관심을 받으며, 한국인 최초로 구두 연제 발표를 통해 국내 인터벤션 영상의학에 대한 국제적 저변을 넓히는 계기가 됐다는 평이다.
한편 전성훈 센터장은 오는 6월 ‘미국 수의내과학회 포럼(2023 ACVIM forum)’에서 ‘절제불가능한 간세포암종 환자에서 진행한 간암색전술에 대한 회고분석 연구’를 발표할 예정이다.

