Introduction
Renal cyst는 신장의 피질이나 수질 내에서 다양한 조성의 액체로 채워진 benign한 실질 상피의 cavity이다. 이 cyst는 크기가 매우 커질 수 있으며, 보통은 임상증상이 나타나지 않는다. 나타나더라도 식욕저하, 기력저하, 구토, 다음다뇨, 혈뇨, 복부팽만, 운동 불내증, 노력성 배변, 찡찡거림, 쓰러짐, 복부 통증 등 특이적이지 않은 여러가지 형태로 나타날 수 있다. Cyst의 크기가 커지면 임상증상이 나타난다.
Renal cyst는 개와 고양이에서 흔히 보이지는 않는다. 만성 신질환에 대한 이차적 혹은 선척적 원인으로 incidental finding으로 발견되는 경우가 종종 있다.
Renal cyst가 있는 환자들은 중년의 개가 많았다. 수컷이나 암컷 모두에서 나타날 수 있으며, 다양한 품종에서 나타날 수 있다. 발생의 이유는 아직 명확하게 밝혀지진 않았다.
진단은 보통 방사선 검사, 초음파, CT와 같은 영상검사로 진단이 된다.
치료에 대한 여러 옵션들이 있는데, 가장 일반적으로 시행하는 경우가 알코올을 이용한 경화요법이다. 이 외에도 Cyst에 창을 내어 Omentalization을 하는 방법, 피부를 통해 cyst를 배액하는 방법, 신요관절제술 등의 치료 옵션이 있다.
만약 양쪽 신장 모두 좋지 않은 상황이라면 Ureteronephrectomy같은 옵션보다는 Sclerotherapy나, partial nephrectomy, PCD와 같은 renal sparing technique이 더 나은 선택일 것이다.
Renal sparing technique을 할 때는 주의해야 할 사항이 있다. Histopathology 상에서 neoplasia를 rule out 해야 한다는 것이다. 만약 종양성이라면 ureteronephrectomy를 하는 것이 더 적합하다.
Renal cyst에 대한 치료는 임상증상이 있는 경우 증상의 경감, 그리고 재발의 방지를 목표로 하고 있다.
Case report
몸무게 9.3kg의 중성화 된 수컷 시츄이다. 내원 당시 나이는 7살 2개월 이었다. CC는 혈뇨였다.
방사선 영상 상, 방광 결석이 보였다. 신장은 결석 혹은 calcification으로 보이는 부분이 있었다.
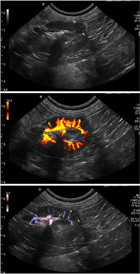
초음파 영상 상, 좌측 신장의 caudal pole에서 well-defined, round shape의 anechoic한 cystic lesions을 발견하였다. 환자의 혈액검사 및 요검사에서 특이사항은 발견하지 못하였다.
Renal Cyst 및 방광 결석으로 진단을 내리고, 치료 계획을 세웠다. 먼저 개복 후 혈뇨의 원인 중 하나라고 생각하는 방광결석을 제거했다. 신장의 Cyst 내 fluid를 제거하고, 제거된 fluid는 검사를 실시한다. 그동안 cyst 내에 조영제를 넣어 신장으로 조영제가 퍼지는지 확인한다.
만약 신장으로 조영제가 퍼진다면 경화요법은 하지 않는다. 그리고 fluid 성분 검사 결과 일반적인 renal cyst라면 경화요법을 하고, 종양세포가 나온다면 ureteronephrectomy를 하기로 하였다.
C-arm을 통한 조영검사에서 조영제가 신장으로 퍼지지 않았고, fluid analysis 결과 simple cyst가 나왔다. 그래서 알코올을 사용한 신장 경화 요법을 하기로 하였다.
시술 후 환자는 특이사항 없이 잘 지냈다. 수술 후 4일째 초음파 recheck을 하였다. 좌측 신장 수질부 낭성 저에코성 구조물이 관찰되며, 신장피막부로 돌출되어 관찰되었다. 좌측 신장의 낭성 구조물내 출혈 소견이 의심되고, 주변 지방의 에코 상승 소견이 관찰되었다.
술 후 28일 째 초음파 recheck을 하였다. 좌측 신장 caudal pole에 존재하던 cystic lesions은 더 이상 확인되지 않으며, 해당 부위는 비균질한 저에코와 불규칙한 변연을 보이는 focal lesion으로 확인되었다.
해당 병소로 인해 신장 변연은 경도로 irregular하게 확인되었다. 해당 병소에서 Color Doppler 적용 시 vascular flow는 확인되지 않았다. 시술을 한 좌측 신장엔 이전에 있는 cyst는 없어지고, 작은 scar tissue 혹은 granuloma로 의심되는 병소만 남았다.
<다음호에 계속>

