촬영시간 단축 및 영상 품질 극대화
이안동물의학센터(원장 이인, 이하 이안)가 국내 동물병원 최초로 도입한 AI 기반 MRI 소프트웨어를 활용해 1,000건 이상의 MRI 촬영을 완료했다.
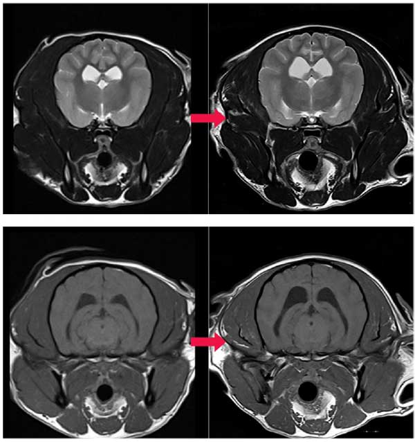
2023년 말 최첨단 AI MRI 소프트웨어를 도입한 이안은 촬영시간 단축과 영상 품질 극대화라는 두 마리 토끼를 동시에 잡았다. AI 소프트웨어의 딥러닝 알고리즘을 통한 이미지 재구성과 노이즈 제거, 선명도 향상은 보다 신속하고 정확한 진단을 가능하게 했으며, 보호자와 반려동물 모두에게 높은 만족도를 제공하고 있다.
특히 촬영시간이 기존 대비 최대 절반으로 줄어드는 등 검사 효율성이 크게 향상돼 환자의 마취시간을 단축시켜 검사 안전성을 더욱 높이는 효과를 가져왔다.
이미지 퀄리티 또한 높아졌는데, 정밀한 판독이 가능해져 질병의 조기 발견과 정확한 진단을 통한 치료전략 수립에 큰 진전을 이뤄냈으며, 이안 전담 마취팀의 철저한 관리까지 더해져 반려동물 검사 전 과정에서 신뢰도 높은 의료 서비스를 제공하고 있다는 평가를 받고 있다.
이안 측은 “이번 1,000건 돌파는 이안센터가 지속적으로 추구해온 기술 혁신과 전문성 강화의 결실”이라고 전했다.
저작권자 © 데일리개원 무단전재 및 재배포 금지

