10살 2.2kg stage D mmvd 환자가 내원했다. 일본 자스민 개심수술병원에 9월에 예약해두고 기다리고 있었다는데 한 달 사이에 급격하게 나빠져 아무것도 못 하고 있고, 다니던 병원에 일주일 가까이 입원해 있지만 퇴원이 가능할지 모르겠다는 보호자와의 통화.
3일간 효도여행 가기 직전에 받은 전화였는데 보호자의 목소리는 지쳐 있었고, 날이 서 있었다. 이 모든 상황이 너무 답답하고 속상한데 혹시 고려동물메디컬센터에서 clamp는 되는지, 이동은 언제 하면 될지 물어보는 전화였다.
“만약 오실거면...용기를 내신다면 이뇨제 강하게 쓰고, 차 밀리지 않는 시간에 달려오시는 것이 좋겠어요”라고 답을 하고, 팀원들에게 이 아이가 나 없는 동안 올지도 모른다고 이야길 남긴 후 다음날 출국을 했다.
아침에 비행기를 타기도 전에 이 아이가 병원에 도착해 있다는 소식이 날아왔다. 이뇨제 올리니 신수치는 creatinine 수치는 2mg/dl→4mg/dl로 올랐고, 폐수종도 들어와 있고, 심장도 너무 큰 상태여서 우선 투석을 한다는 이야기였다.
[그림 1] ‘도대체 왜 이런 환자들만 계속 오는가...나도 risk보다 benefit이 큰 환자를 만나고 싶다...나는 콜로라도에서 만난다는 그런 환자들은 인연이 없는 것인가’ 나의 몸은 효도여행 중이었고, 마음은 온통 한 번도 보지 못한 이 아이에게 쏠려 있었다.
‘이렇게 폐수종이 들어와 있는 심각한 수준의 mmvd 환자에게 잠깐 진정하고 경정맥에 투석관을 장착하는 것은 한 번에 성공하지 못하면 꽤 상황이 나빠질텐데...’라는 걱정도 들었다.
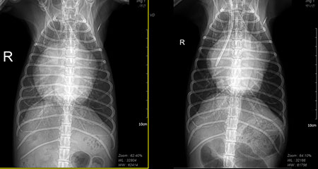
아마 이 아이에게는 모든 순간이 넘어야 하는 높은 산이었을 것이다. 멀리서 내가 할 수 있는 것은 응원 뿐. 그리고 다음날 환자의 방사선 사진이 메시지로 도착했다[그림 2, 3].
투석 만세다. 아이는 잠시 위기에서 탈출했다. 투석을 하면 신장도 위기에서 구해낼 수 있지만 폐수종도 초여과를 통해 해결할 수 있다. 이런 상황을 만들면 단 며칠 이뇨제 요구량도 감소한다.
투석을 하는 동안엔 진정이 필요하니 이 아이는 다시 마취하지 말고 투석 끝날 때쯤 경식도 초음파 검사를 하는 것을 제안했다. 그리고 역시 이렇게 응급실로 밀고 들어오는 stage D 환자는 경식도초음파에서 늘 엄청난 판막 상태를 보여준다.
[그림 4] 이첨판의 앞쪽판막은 거의 모든 건삭이 끊어진 듯 했으며, 대단한 역류를 만들고 있었다. 그리고 뒤쪽판막은 3D에서 평가 시 튼튼하지 않아 보였다.
경식도 초음파를 보는 알박사는 언제나 나보다 객관적이다. ‘high risk’라고 소견을 줬고, 수술에 회의적이었다.
나는 메세지로 받아 본 영상만으로는 판단이 어려웠다. 이전에 만났던 stage D 환자들처럼 “안타깝지만 수술이 불가하다고 말할 근거가 없어서 해 볼 수 있겠어요” 상황인건 아닐까. 귀국 전날 밤 중환자센터장에게 “어떻게 하는게 좋을까? 니가 볼땐 어때?”라고 물었고, 그녀는 “이 아이의 판막은 많이 슬퍼. 근데 너가 와서 아이를 한번 보고, 직접 검사 결과도 좀 보고 나서 결정해. 우리는 살 가능성이 보이니까 결정이 힘든거야. ‘죽을 가능성이 높으니 하지 말자’가 아니라 살릴수도 있으니까, 살려본 적도 있으니까, 자꾸만 살리고 싶으니까 힘들지. 근데 어쩔 수 없어 우린 원래 그런 사람들이라서”라고 답했다.
오전에 귀국하자마자 캐리어를 끌고 곧장 병원으로 갔다. 아이가 생각보다 작다. ‘아...2kg 좀 넘는다고 했지. 아이가 너무 작네...왜 이렇게 머리와 몸은 흔들고 있니? 아...투석으로 신수치를 확 낮춰서 그렇구나. 너 살려보려고 내과원장님이 몸 만든다고 그랬구나’
보호자와 상담 중 나는 “살 가능성을 가져보자. 살 수도 있으니까 하는 수술이다. 안 하면 아이에게는...그 다음은 없으니까...”라고 말을 했고, 보호자는 수술을 결정했다. 그리고 보호자가 수술을 결정하고 나서 나는 우리 수술팀을 찾아가서 “안타깝게도 내가 거절하지 못해서 우린 또 힘든 수술을 해야 할 것 같아. 시간도 없어서 잠시 후 시작해야 할 것 같아”라고 말을 했다. 다행히 알박사가 내 생각을 이해해줬다.
그래서 이 아이는 어떻게 되었을까? 아이의 수술 전 방사선부터 수술 10일 차의 방사선 사진은 이렇다[그림 5, 6].
이렇게 되었다. stage D 환자에서 이뇨제를 고용량으로 쓰고, 신수치가 많이 오르고, 핍뇨나 무뇨까지 갔던 환자들에게 V-clamp 수술을 해놓으면 어떻게 될까?
나는 clamp 수술을 한 환자들에게 수술 후 수액을 거의 주지 않는다. 진통제와 진정제 정도만 혈관으로 주고, 나머지는 음수로 보충한다. 놀랍게도 환자는 2~3일간 아주 많은 양의 뇨를 내보낸다.
신수치는 수술 이후로 빠르게 떨어진다. 심장을 작게 유지하기 위해 전부하를 줄이려고 이뇨제를 수술 전과 비슷하게 혹은 더 많이 쓰더라도 신장은 뇨를 잘 만들고, 신수치는 며칠에 걸쳐 정상까지 떨어진다.
clamp 수술로 forward로 나가는 stroke volume이 많아지고, 좌심방의 압력이 감소하면 LA와 신장, 혈관에서 나오는 신경호르몬들이 조절되면서 수술 전과 비교해서 몸이 좀 더 환자 상황에 유리하게 적응하는게 아닐까?
뇨량이 많아지는 것은 순환하지 않고 울혈돼 있던 체액이 나오는 것으로 보고 있다. 세뇨관에서 더 이상 나트륨과 수분을 재흡수할 필요가 없다고 판단해서 많은 양을 내보내고 있다고 말이다. 완벽하게 역류를 줄여놓지 않더라도 전보다 조금이라도 줄면 환자의 몸은 아주 유리하게 변화한다. 순환기의 마법이다.
최근 stage D 환자가 죽을 각오로 먼 길을 달려 우리 병원으로 달려오고 있어 우리팀은 시도 때도 없이 투석을 하고, 새벽이든 점심시간이든 시간을 내어 clamp 수술을 하고, 마음을 졸이며 모니터링을 하는 날이 늘고 있다.
한 발짝만 더 가면 사망일 것 같은 아이들을 살리는 것은 대단히 보람차고 즐거운 일이지만, 이 환자가 얼마나 더 살지는 두고 봐야 한다. 어쩌면 몇 달 못 살지도 모르고, 의외로 아주 잘 살아갈지도 모른다. 아이가 살아가면서 우리에게 많은 걸 가르쳐 주리라 생각한다.
이렇게 위험한 상태에서 집착해서 살린 환자들이 늘어가면 우리는 우리의 ‘기준’에 부합하지 않은데 타협하고, 수술을 시도하는 환자군들이 생긴다. 그리고 그 환자들 모두를 살릴 수는 없을 것이다. 그렇지만 이 과정과 성장이 더 많은 아이들을 살리는 방향으로 가게 할 것이라고 믿고 힘을 내야겠다.
작년 5월에 stage D에서 쭌이가 최근 1주년 건강검진을 다녀갔다. 15살이 된 아이는 심장수축력이 이미 수술 전부터 매우 나빠서 수술에 성공한다고 하여도 오래 버티지 못하지 않을까 싶었지만 아주 잘 지내고 있다. 올 초에 수술한 D 단계 아이들도 이제 2~3개월 있다 보자고 하고 있다. 환자들에게, 보호자들에게, 그리고 우리 팀 수의사들과 간호팀들에게 모두 큰 존경과 감사를 보낸다. <完>

