해마루동물병원 전성훈(인터벤션센터) 센터장이 올해 인터벤션 영상의학 분야에서 수행한 연구 3편을 SCI 국제학술지에 연이어 발표하며, 기존 치료의 한계를 극복한 실제 임상 증례로 국내외 수의 인터벤션분야에서 주목을 받고 있다.
인터벤션 영상의학은 실시간 영상장비를 활용해 혈관·비혈관에 카테터나 기구를 삽입해 치료하는 비침습적 영상 가이드 시술(image-guided therapy)이다. 수의학에서는 심장 인터벤션이나 일부 비혈관 시술을 제외하면 아직 연구와 증례가 많지 않은 분야로, 초기 진입 수의사들이 참고할 자료가 부족한 영역으로 꼽힌다.
해마루동물병원은 2021년 국내 최초로 인터벤션센터를 개소한 이후, 관련 치료와 연구를 선도하며 국내외 학회 발표와 논문 게재를 이어오고 있다.
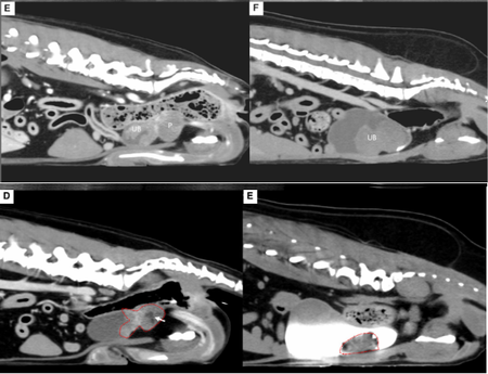
■ 방광 종양으로 인한 빈혈 환자에 ‘방광 종양 색전술’ 성공
첫 번째 논문은 거대 방광 종양으로 지속적인 혈뇨와 빈혈을 보인 개 2마리에서 종양 색전술을 적용한 사례로 'Journal of Small Animal Practice(SCI)'에 게재됐다.
전통적으로 비뇨기 종양 색전술은 합병증 위험으로 전립선 종양에만 국한됐지만 본 증례는 종양으로 공급되는 혈관만을 초선택(superselective) 했고, 시간이 지나 재개통이 되는 색전 물질(gelatin sponge particle)을 이용해 효과를 극대화 하면서도 심각한 합병증이 발생하지 않도록 하였다.
시술 직후 혈뇨는 즉시 개선됐으며, 배뇨곤란 증상도 완화됐다. 또한 종양 크기는 50% 이상 감소했으며, 빈혈과 혈소판 감소증을 보였던 환자에서도 4주만에 혈액 수치가 정상화 되었다.
해마루 인터벤션센터는 현재까지 하부 비뇨기 종양 색전술을 200례 이상 시행했으며, 30여 마리를 장기 추적한 전향적 연구도 유명 SCI 저널 게재를 앞두고 있다.
■ 급성 대동맥 혈전증 환자에 ‘Stent-Retriever 혈전제거술’ 적용
두 번째 논문은 급성 대동맥 혈전증으로 후지 마비가 발생한 개에서 stent-retriever를 이용해 혈전을 제거하고 정상 보행을 회복한 증례로 'Journal of American Animal Hospital Association(SCI)'에 게재됐다.
인의 신경계 인터벤션 시술에서 사용되는 Stent-retriever(Solitaire)를 수의학에 적용한 최초의 사례로, 혈전 제거 직후 양측 대퇴동맥의 혈류가 회복되었고, 환자는 시술 후 빠르게 자발 움직임을 보였으며, 8일 차에는 정상 보행을 회복했다. 기존의 외과적 혈전제거술이나 흡인식 혈전제거술보다 짧은 시간 내에 높은 치료 효과를 보였다는 점에서 임상적 가치가 크다.
■ 편측성 폐동맥 협착증·폐동맥 형성부전증 고양이 ‘풍선 성형술’로 교정
세 번째 논문은 편측성 폐동맥 협착증과 반대편 폐동맥 형성부전증이라는 복합 심폐기형을 가진 4개월령 고양이에서 풍선 성형술로 치료한 후 장기 예후를 추적한 증례로 'Journal of Veterinary Medical Science(SCI)'에 게재됐다.
해당 환자는 4개월령 고양이로 심장 초음파에서 우측 폐동맥 가지의 폐색과 편측 폐동맥 무형성이 확인됐으며, 협착부 해소를 위한 풍선확장술을 실시했다. 시술 후 압력경사는 31.19 mmHg (velocity: 2.79 m/s)로 감소했으며, 1년 후 재검에서는 우심실의 비대 및 우심방 확장 소견도 개선되어 심장이 정상화 됐다.
해당 환자는 추적 관찰된 3년간 무증상으로 투약 없이 지내고 있다. 해당 연구는 드문 선천성 심폐기형에 대한 성공적인 인터벤션 치료와 장기 예후를 제시한 사례로, 향후 유사 질환 치료에 중요한 참고자료가 될 것으로 기대된다.
전성훈 센터장은 “그동안 심장이나 일부 비혈관 스텐트 외에는 인터벤션 증례와 연구가 부족했던 것이 현실”이라며 “이번 연구들이 국내외 수의사들에게 실질적인 치료 옵션을 제시하는 자료가 되기를 바란다”고 밝혔다. 아울러 “현재 간암 색전술, 구강·비뇨기 종양 색전술 등 대규모 회고 연구도 진행 중이며, 국제 학회 발표를 지속해 국내 수의 인터벤션의 위상을 높이겠다”고 말했다.

