<지난호에 이어>
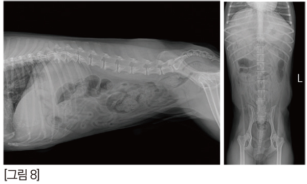
방사선 검사에서도 큰 이상이 없어서 초음파 검사를 진행하였습니다. [그림 8]

복부초음파 검사상 비균질한 에코를 보이며, 위 내강으로 돌출된 30mm크기의 종괴가 확인되었습니다. [그림 9]

기존의 백색광으로 관찰한 오른쪽 영상을 보면 표면의 색이나 형태가 규칙적이고, 오른쪽의 NBI 영상으로 봤을 때도 microvascular pattern과 microsurface pattern이 규칙적인 것으로 보아 양성으로 짐작할 수 있었습니다. [그림 10]

수술로 제거 후 조직검사에서 leiomyoma로 진단되어 NBI영상과 일치함을 알 수 있습니다. [그림 11]

두번째 케이스 입니다. 2003년생 말티즈 중성화한 암컷에 2.6kg이고, 구토와 식욕부진을 주 증상으로 내원하였습니다.
미약한 저알부민혈증과 질소혈증이 있고, CRP는 높지 않았습니다. 백혈구 수치가 6만 5천개로 높은 것이 특징입니다. [그림 12]

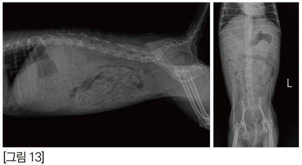
VD상에서 mass로 의심될만한 소견이 있지만, 위 내 음식물과 감별하기는 힘들었습니다. [그림 13]

복부초음파상 위벽 layer가 소실되었고, hypoechoic하게 관찰되며, 11.3mm로 심하게 비후되어 있는 것을 확인하였습니다. [그림 14]

내시경 검사에서 백색광 관찰 시 색과 표면이 불규칙하게 나타나고, NBI 영상에서도 microvascular pattern과 microsurface pattern이 불규칙하고 소실된 것으로 보아 악성으로 의심이 됩니다. [그림 15]

내시경을 이용해 biopsy forcep으로 조직을 채취해 IDEXX로 의뢰한 결과, high-grade gastric lymphoma로 진단이 나와서 NBI 영상과 일치함을 알 수 있습니다. [그림 16]

세번째 케이스 입니다. 2004년생이고, 품종은 mixed, intact female입니다. 유선종양 수술을 하기 위해 내원하였습니다.
혈액검사상 큰 특이사항 없었습니다. [그림 17]

VD상에서는 명확하지 않으나 외측 방사선 상 cardia 부위에 크기가 약 25mm의 연부조직 종괴가 관찰되었습니다. [그림 18]

<다음호에 계속>


