■ 서론
위장관 천공(gastrointestinal perforation)은 생명에 위협되는 상황으로, 치료하지 않게 되면 패혈증성 복막염(Septic peritonitis)이나 사망으로 이어지게 된다.
이는 이물의 섭취, 위 확장 및 염전, 외상, 위 절개술 및 장문합술 부위의 누출 또는 의인성 외상으로 인해 발생한다.
개에서는 항염증제 적용, 심각한 간부전 및 신부전, 스트레스, 쇼크, 위 과민증, 종양, 특발성 염증성 장질환(idiopathic inflammatory bowel disease)을 포함한 많은 소인이 발견 되었다. 사람에서는 소화성 궤양(peptic ulcer)이 천공의 가장 흔한 원인이다.
위장관 천공의 임상증상은 주로 anorexia, vomiting, lethargy 등이 보인다. 방사선 상에서의 복강 detail 소실, free air의 존재, 초음파 검사 상에서의 복수 확인, 채취된 복수의 세포학적 검사 등을 통해서 pneumoperitoneum 확인 시에 위장관 천공을 진단할 수 있다.
그러나 pneumoperitoneum이 없는 경우에는 확인된 임상증상과 임상병리학적 이상이 위장관 천공을 최종 진단할 수 있을 만큼 충분히 특이적이지는 않다.
고양이에서 자발성 위장관 천공은 드물게 보고 되었다. 개에서 발생되는 NSAIDS, 코르티코스테로이드, 간 질환, uremia, 스트레스, 쇼크, 위장관 순환 감소, systemic mastocytosis 또는 gastrinoma에 기인한 위산 과다, 다른 위장관 종양 및 특발성 IBD와 같은 원인들이 비슷하게 보인다. 그러나 이전에 보고된 증례에서 대부분은 원인을 찾을 수 없었다.
■ 증례
13살의 중성화 한 암컷의 코숏 고양이로 구토를 3회 보인 후에 기력이 많이 쳐져서 내원했다. 첫번째 내원 시 혈액검사와 방사선 검사 실시 후 1일 입원하여 Fluid therapy를 진행하고 퇴원 하였으나 이후 식욕부진이 지속되어 5일 뒤 재 내원했다.
첫번째 내원 시에는 혈액검사 상 mild한 leukocytosis(25200, reference range 5500-19500 10*6/L)와 hypoalbuminemia(1.9, reference range 2.3-3.5g/dl)가 있었으나, 이후 재 내원 시에는 severe한 leukocytosis(61800), Hematocrit의 감소(22.5, reference range 24-45%)가 확인됐다.
재 내원 시에 방사선 상에서 복강 전체적으로 serosal detail이 감소되어 있으며, free air도 확인됐다. 복강 초음파 영상에서도 복수의 존재를 확인했다. 추가적인 진단검사를 위해 peritoneocentesis를 실시하여 복수 샘플을 확보하고, 검사 의뢰했다.
복강 내 천공이 의심되어 추가로 조영검사를 진행했고, 조영제 투여 후 3시간 뒤 촬영에서 소장내의 조영제가 복강 내로 누출되는 것을 확인하여 천공 부위가 공장 내에 있는 것을 확인했다[그림 1].

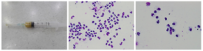
Peritoneocentesis를 통해 채취된 복수를 분석한 결과, bacterial peritonitis로 진단됐다[그림 2]. 복수를 배양한 결과 병원체는 Escherichia coli가 확인 되었으며, 항생제 감수성 결과에서는 대부분의 항생제가 감수성 있는 것으로 확인 됐다.

검사 결과 등을 통해서 장 천공에 의한 bacterial peritonitis로 확인되어 천공 부위의 확인 및 교정을 위해 진단적 개복술을 실시했다. 개복 시에 복강 내 염증성 복수가 관찰되었고, 복강 내 장기들이 염증으로 인해 유착되어 있는 것을 확인했다.
공장 부위의 확인 시에 천공된 부위를 확인하고, 천공 부위 절제 후에 정상 공장 부위의 장문합술을 실시했다. 천공의 원인이 될만한 이물 등은 발견되지 않았다. 여러 번의 복강세척을 실시하고, 복강 내 drain을 장착하여 수술을 완료했다[그림 3].

술 후 항생제 감수성 결과에 따라 cefotaxime 50mg/kg bid, Enrofloxacin 5mg/kg sid, metronidazole 10mg/kg bid로 투여했다. 수술 당일에 술전 검사에서 hypoalbuminemia(1.3)가 확인되어 수술 전에 Human serum albumin을 투여했다.
수술 다음날 혈액검사에서 severe한 leukocytosis(117000)와 Hematocrit의 감소(16.6%)가 확인된 뒤에 이후 혈액검사 확인 결과, 수술 1주일 뒤에는 WBC의 감소(14400)와 Hematocrit의 증가(20.3%)가 확인됐다.
장문합술로 48시간 금식을 진행한 이후 식이 급여 시 스스로 먹기 시작했으며, drain을 통해 나오는 fluid의 양도 줄어들어 술 후 4일째 되는 날에 제거했다.
술 후 1주일 되는 날 퇴원했다. 퇴원 후 일주일 뒤 다시 내원하여 혈액검사 진행 시 Hematocrit는 더 증가(25.6%) 했으며, 초음파와 방사선검사상 특이 소견은 발견되지 않았다. 식욕도 양호하게 유지되어 치료를 종료했다.
■ 결론&토론
본 환자는 내원 첫날 혈액검사와 방사선 상에서 두드러진 검사 결과가 확인되지 않아 추가 검사를 진행하지 않았고, 이후 다시 내원 시에 변화된 검사 결과를 통해 초음파 검사 등 추가 검사를 진행하여 장 천공에 의한 peritonitis를 진단한 증례다.
재 내원 시에도 혈당 및 혈압의 저하, WBC의 감소 같은 Septic의 증거가 확인되지 않았고, 적절한 검사와 처치 이후에 예후가 양호하여 다행이나, 첫번째 내원 시에 적극적인 검사와 처치가 이루어졌으면 더 좋은 예후가 나타나지 않았을까 하는 아쉬움이 남는다.
영상진단 검사와 탐색적 개복술을 통해 장 천공을 확인했으나, 개복술에서의 복강 상태나 환자의 병력 상에서 장 천공에 대한 원인을 찾을 수 없었다.
위장관 천공은 상태가 지속되면 Septic peritonitis나 사망으로 이어질 수 있는 질환이다. Pneumoperitoneum이 확인되기 전까지는 임상 증상이나 임상병리학적 이상으로 위장관의 궤양인지, 천공인지를 구별할 수 없다.
대부분의 경우에서 천공이 발생했는지, 곧 임박했는지를 확인할 수 있는 검사는 없다. 따라서 임상가는 천공의 진단이 지연되는 것을 방지하기 위해 방사선 검사, 초음파검사, 내시경, 복수 세포검사 등 다양한 진단검사를 활용해야 한다.
Bernandin에 의한 13마리의 고양이를 연구한 retrospective study에 의하면 11마리에서 궤양이나 천공 부위에 대한 조직학 검사를 시행했고, 이 중 6마리가 alimentary lymphoma로 진단됐다. 나머지 5마리는 비-종양성 병변(lymphocytic-plasmacytic IBD, necrotic suppurative enteritis)으로 진단됐다.
Lymphoma는 위장관 천공을 가진 모든 고양이에서 고려해야 되는 질환이기에 궤양이나 천공 부위에 대한 조직학 검사는 필수적이다. <完>


