<지난호에 이어>
Post surgery monitoring
Post OP-Day 1
수술 1일차에 bulging된 vessel 안에서 fluttering material이 관찰되었고, thrombus가 의심되었다.
D-dimer는 0.7mg/L(0-0.3)으로 다소 상승하여 있었으나 수술 직후이므로 직접적인 관련성은 확실하지 않았다. Portal vein flow velocity는 거의 측정되지 않았으므로 portal vein 내에서 혈액의 정체와 간의 bypass가 동시에 일어나고 있음을 유추할 수 있었다.
PV 내에서 thrombus 형성이 의심 되었으므로 dalteparin 150 IU/kg tid로 증량하였다.
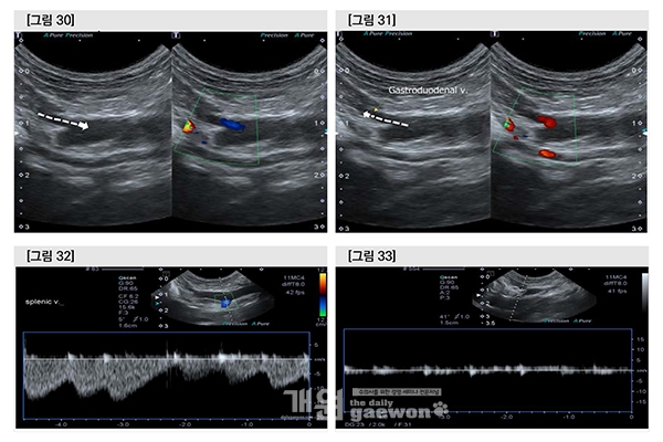
Post OP-Day 2
수술 이틀째 gastroduodenal v.에서 hepatofugal flow와 hepatopetel flow가 호흡에 따라 alternation 되고 있었으나 splenic v.에서는 consistent hepatofugal flow였고, 간으로 insertion 하기 직전의 portal vein을 flow velocity는 거의 측정되지 않았으므로 여전히 문맥혈액은 간을 우회(bypass)하고 있다고 판단하였다.
Post OP-Day 4
수술 4일째 portal v.에서 thrombus 의심 물질이 관찰되었고, PV의 blood flow는 측정되지 않았다. Splenic v.의 blood flow는 hepatofugal과 hepatopetal flow가 번갈아 가며 관찰 되었으나 gastroduodenal v.은 지속적으로 hepatofugal flow였다. Portal vein 내의 thrombus 형성과 함께 문맥 혈액은 splenic v.과 gastroduodenal v.으로 우회하고 있었다.
Thrombus에 의한 complication이 우려 되었으나 body condition이 양호하여 퇴원 조치 되었다.
Rivaroxaban(자렐토) 1mg/kg bid, clopidogrel 1mg/kg bid, Lefotil(레비셀) 2.5mg/kg bid, metronidazole 15mg/kg bid, spirolactone 2mg/kg bid, UDCA를 처방 하였으며, low-protein diet를 처방하였다.
Post OP-Day 10
수술 10일째 portal vein flow velocity는 4cm/sec로서 다소 느리지만 normal flow가 측정되었다. Portal vein에서 thrombus는 관찰되지 않았고, splenic vein과 gastroduodenal vein의 flow는 지속적으로 portal vein 방향으로 흐르고 있었다.
<다음호에 계속>


