<지난호에 이어>
Post OP-Day 30
Portal vein의 flow velocity는 8.2cm /sec 로서 문맥을 통한 간의 blood supply는 양호하였다. 심장초음파상에 이완기말 좌심실 직경(LVDd)이 21.5mm로서 참고범위(13.97~16.24mm) 이상 이었으며, LA/Ao 1.89로서 volume overload에 대한 remodeling은 변화가 없었다.
항 혈전 약물 및 low protein diet는 계속 유지하였다.
Post OP-Day 60
Portal blood flow velocity는 11.9 cm/sec로서 참고범위를 회복 하였으며, 최초 내원 시에 Aortal의 ventral aspect에서 관찰되었던 vessel plexus는 CF doppler 상에 관찰되지 않았다.
Acquired PSS가 관찰되지 않고 normal flow가 완전히 회복되어 약물 및 처방사료는 종료하였다.
Clinicopathologic change
Portal blood flow velocity의 뚜렷한 개선을 보였던 수술 후 30일째에는 높았던 간 관련 혈액수치가 참고 범위 내에서 측정되었다. 수술 후 30일째 bile acid test를 진행하였는데, pre 1 umol/L, post >150umol/L로 Pre-prandial은 개선 되었으나 post는 여전히 높은 상태였으므로 간 기능은 아직 회복되지 않았다.
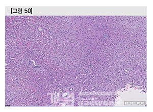
Liver histology
liver biopsy에서는 Portal oval cell hyperplasia, Intralobular arteriolar replication, Mild-moderate vacuolar hepatopathy, Lobular hypoplasia가 확인 되었으며, 이는 insufficient portal blood supply와 관련된 것으로서 portal hypertension 및 acquired PSS에 의한 조직학적 변화로 생각할 수 있었다.
Clinical outcome
수술 이틀째부터 vital sign, 식욕 및 활력 상태는 양호하였다. Portal vein thrombus가 확인되었던 수술 후 4일째에도 신체 상태는 양호하여 퇴원 후 관리를 결정하였다.
Clinical outcome은 Short-term follow up( <1month)에서 Fair, long-term follow up( >1month)에서 good to excellent로 판정하였다.<다음호에 계속>


